ฟาดเคราะห์ “บอส ณัชพงศ์พล” เข้าเอกซเรย์
สำหรับ บอส ณัชพงศ์พล สุดดี ดาราหนุ่มหุ่นล่ำ ที่มีความชื่นชอบในการออกกำลังกายเป็นอย่างมาก หากใครติดตาม หนุ่มบอส ก็จะเห็นว่าไอจีของ หนุ่มบอส ส่วนมากจะมีแต่เรื่องเกี่ยวกับการออกกำลังกาย
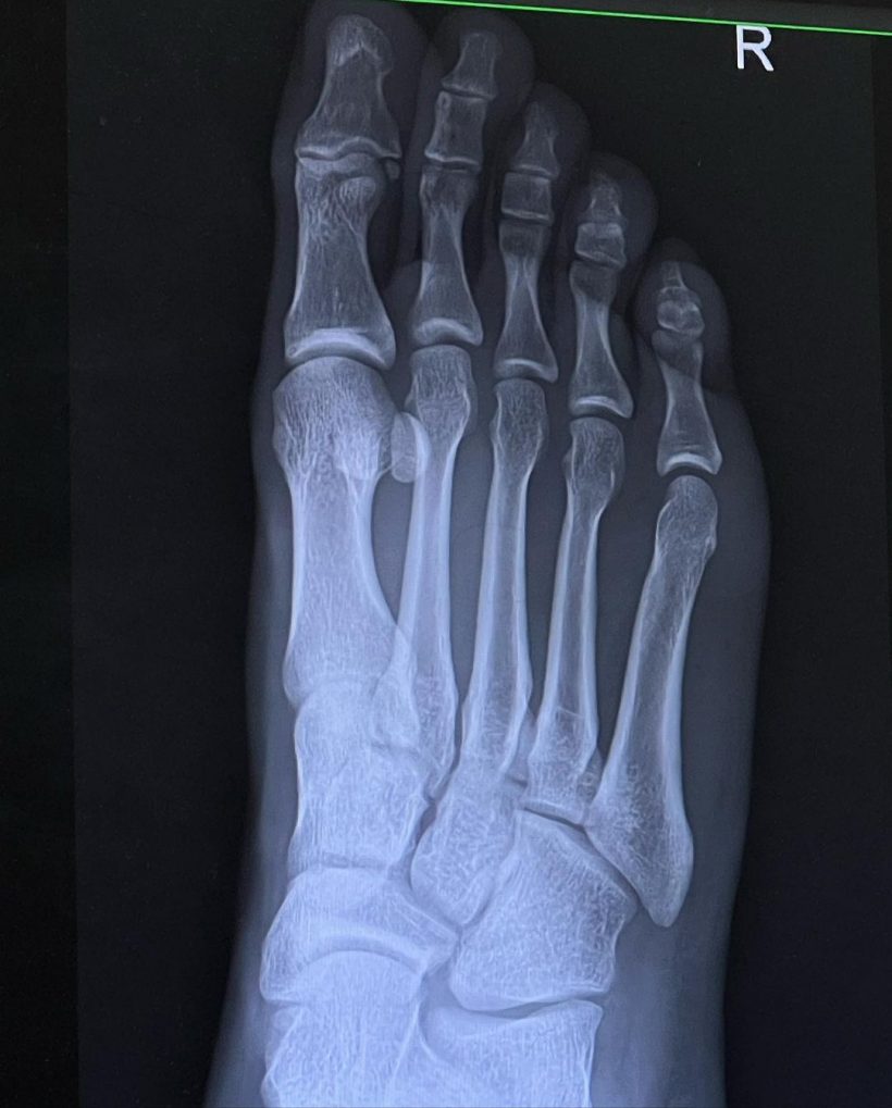
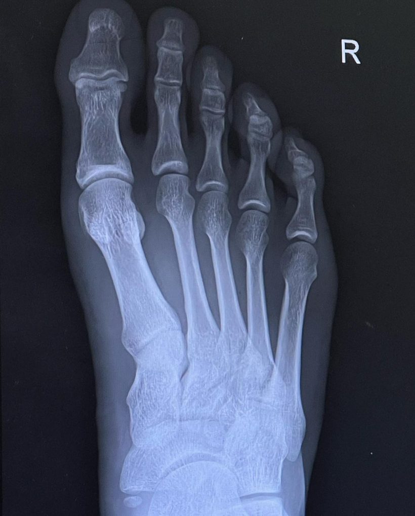
ล่าสุด ค่ำคืนที่ผ่านมา หนุ่มบอส ได้โพสต์ภาพพร้อมเเคปชั่นว่า “เรียบร้อย!! 2-1 🔴 เอ๊ย ผิดครับ!!! เหล็กทับ 👣 เต็มๆ เหล็ก 11 โล (เหล็กล้วนไม่มียางผสม) หลน จากระดับ หัวไหล่ เหลี่ยมลง เท้า เต็ม ๆ จากทรง คือ ดูไงไม่น่ารอด กระดูกน่าจะไม่หัก ก็ ต้อง ร้าว สรุป!! เอ็กซเรย์ ออกมา หมอ บอกเกิ๊นน ไม่เป็นอะไรเลย กระดูกปกติแข็งแรงมาก เอ็นไม่ขาด กล้ามเนื้อไม่ฉีกขาด #ขาผมอดาแมนเที่ยม 🦿เตือนทุกคนนะครับ ใส่รองเท้าทุกครั้งเวลาออกกำลังกายอะไรที่อันตราย หนักจะได้เบาลง ถ้าไม่มีรองเท้าถุงเท้า ผมว่าน่าจะหักละเอียดเลย GYM ไม่ใช่ของเล่นนะครับ 🦾🦿🧠 #เหมือนปีนี้มีแต่เรื่องซวยดีสุดในชีวิตมีแค่เรื่องเดียว“





Cr_ig: boss.nsbz