“วีเจจ๋า” แชร์ประสบการณ์ป่วย

หลังจาก “วีเจจ๋า” ณัฐฐาวีรนุช ทองมี โพสต์รูปภาพแอดมิตโรงพยาบาล พร้อมเขียนแคปชั่น เล่าเหตุการณ์ว่าต้องเข้ารับการผ่าตัดต่อมทอนซิลเป็นครั้งแรก ซึ่งขณะนี้เจ้าตัวก็ได้ทำการผ่าตัดเป็นที่เรียบร้อย และกำลังอยู่ในขั้นตอนพักฟื้นร่างกาย
ล่าสุดเจ้าตัวโพสต์ภาพ พร้อมข้อความ แจ้งผลตรวจติ่งเนื้อตรงทอนซิลออกแล้ว ผ่านเฟซบุ๊กส่วนตัว vj ja ระบุว่า…
ผลตรวจติ่งเนื้อตรงทอนซิลออกแล้วครับ คุณจ๋ามี “Amyloidosis”
เรื่องมันเริ่มจากตรงนั้นค่ะ…
(❤️ส่วนตอนนี้ปลอดภัยดีแล้ว ผลออกหมดแล้ว เผื่อใครอ่านไม่ถึงตอนจบ เดี๋ยวจะกังวลตาม 😅❤️)
จ๋าเลยอยากจะแชร์ให้ฟัง เพราะ Amyloidosis มันคือโรคที่ rare มากๆๆ ในโลกนี้มีคนเป็นน้อยมากๆ แต่ถ้าเป็นหนักคือ มีอันตรายถึงชีวิตได้เลย
ตั้งแต่ช่วงต้นเดือนกุมภา จ๋ามีอาการแสบคอตอนหายใจในอากาศเย็นๆ แต่ในอากาศปกติไม่เป็นอะไรเลย ตอนแรกก็สงสัยเป็นคออักเสบมั้ย หรือเป็นโควิดรึเปล่า ทำให้ไปตรวจ RT-PCR ถึงสองครั้งใน 1 เดือน โดยที่ไม่มีความเสี่ยงหรืออาการอื่นเลย
ผลคือ ไม่ได้เป็นโควิด…
จ๋าไปหาคุณหมอรวมทั้งสิ้น 4 คน คือ ค่อยๆหาทีละคนนะคะ ได้ยาฆ่าเชื้อกิน 4 รอบ! ( ซึ่งแน่นอน กินยาฆ่าเชื้อเยอะๆไม่ดีค่ะ)
แต่ก็ยังไม่มีใครสรุปอาการให้ได้ชัดเจน เพราะมันดูไม่มีอะไรเด่นชัดนอกจากแค่แสบๆคอตอนหายใจในแอร์ และเห็นว่ามีติ่งเนื้อเล็กๆงอกอยู่ตรงต่อมทอนซิลด้านซ้าย ซึ่งหมอ 3 ท่านแรกบอกว่า หน้าตาไม่เหมือนเนื้อร้าย อย่าไปยุ่งกับมันเลย ให้สังเกตไปก่อนว่ามันจะใหญ่ขึ้นไหม
จนมาเจอคุณหมอคนที่ 4 คือ คุณหมอภูริช ประณีตวตกุล ตอนไปหาคุณหมอภูริชรอบที่ 3 หมอก็บอกว่า
ถ้าไม่สบายใจชิ้นเนื้อ กลัวเป็นเนื้อร้าย ก็ให้จี้ออก เอาไปตรวจได้
เราก็เลยทำแบบนั้น แล้วรอผล 7 วัน
คุณหมอแจ้งผลว่า “ชิ้นเนื้อไม่ใช่เนื้อร้าย…
เกือบจะโล่งใจแล้ว ถ้าคุณหมอไม่พูดคำว่า แต่…ออกมา
…แต่ นักพยาธิวิทยาแจ้งว่า มีความเป็นไปได้ที่มันเหมือน Amyloidosis ขอให้รีเควสตรวจย้อมสี Congo red… (ซึ่งเราก็ไม่ค่อยเข้าใจหรอก แต่ก็บอกว่า ทำเลยค่ะ เอาให้รู้ ว่าเป็นหรือไม่เป็นอะไรยังไง)
รอผลอีก 7 วัน…
ระหว่างนั้น จ๋ามีนัดตรวจร่างกายประจำปีอยู่แล้ว มีตรวจแพคเกจใหญ่ มีส่องกล้องลำไส้ เลยจอส่องกล้องกระเพาะอาหารด้วย และตรวจเลือด ตรวจมะเร็ง รวมถึงตรวจ MRI สมองไปด้วย เพราะพอช่วงเครียดๆ ร่างกายมันรู้สึกรวนไปหมด อยากตรวจแบบ set zero ไปเลย ถ้าไม่เป็นอะไรก็เคลียร์ ว่าตรวจปี 2022 ผลปกติดีทุกอย่าง
ความแย่คือ พอเราตัองรอหลายวัน เราก็เริ่มหาข้อมูลเกี่ยวกับโรค และแน่นอนเรา search ข้อมูลในเน็ต
ข้อมูล Amyloidosis มีน้อยมากๆ ยิ่งเคสในไทยยิ่งน้อย
มันคือโรคทางเลือด ทางโลหิตวิทยา
เป็นโรคที่ร่างกาย เม็ดเลือดขาว หรือไขกระดูก สร้างโปรตีนที่ชื่อ อะมัยลอยด์ออกมามากผิดปกติ และมี 2 ประเภท คือแบบเกิดเฉพาะที่ และแบบกระจาย
หากเกิดแบบ 2 คือเรื่องใหญ่ เพราะอะมัยลอยด์มันสามารถกระจายไปจับตามระบบหรืออวัยวะต่างๆได้หมด โดยที่เราไม่รู้ว่ามันจะไปสะสมที่ไหน แต่มันไปที่ไหน ก็จะไปสร้างปัญหาให้กับอวัยวะนั้นๆจนล้มเหลวได้ในที่สุด (อ่านแล้วปวดใจมาก กังวลไปหมด)
ภาวนาขอให้อย่าเป็นเลย
ผลออก…
ติ่งเนื้อนั้น Amyloid positive!!!
แปลว่า มีภาวะ Amyloidosis ค่ะ
บอกเลยว่า ขาอ่อนจริงๆตอนฟังผล
เพราะรู้ว่า เราต้องตรวจอีกหลายส่วนมากๆๆ
คุณหมอภูริช ประสานให้จ๋าไปเจอคุณหมอ ศุภรา ลีชาแสน คุณหมอทางโลหิตวิทยา
คุณหมอศุภราจับตรวจเลือด set ใหญ่
ซึ่งต้องรอผล 20 วัน!!!
ระหว่างนั้น คุณหมอภูริชเลยจับนัดผ่าตัดทอนซิลทิ้งทันที
จ๋าผ่าทอนซิลทิ้งทั้ง 2 ข้างค่ะ และภาวนาว่า ตัดออกแล้วขอให้จบ ขอให้โรคไม่กระจาย
ลำพังตัดทอนซิล ก็ใช้เวลาพักฟื้นราวๆ 2 สัปดาห์
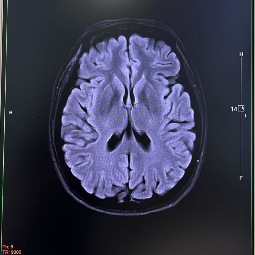
ก่อนหน้าวันผ่า จ๋าไปตรวจละเอียดเพื่อหา Amyloid ในระบบประสาท, ทำ ECHO หัวใจ, CT scan ช่องท้องโดยเฉพาะตับ ประกอบกับผลที่ตรวจร่างกาย มีส่องกล้องทางเดินอาหารแล้ว xray ปิดแล้ว utrasound ภายในโดยรวมแล้ว ยังปกติดีอยู่
เกิดมาไม่เคยตรวจอะไรเยอะขนาดนี้มาก่อน
และไม่เคยกังวลใจขนาดนี้มาก่อนเลยค่ะ
ในช่วง 20 วันที่รอผล บอกเลยว่า จ๋าเห็นคุณค่าของสุขภาพแบบจริงๆๆๆๆๆๆ ซึ่งไม่มีทางรู้สึกได้ชัดๆแบบนั้น หากไม่ได้อยู่ในจุดที่เหมือนจะเสียมันไปแล้ว
โชคดีของจ๋าคือ ผลชิ้นทอนซิล ผลเลือดทั้งหมด ผลปัสสาวะที่ต้องเก็บตลอด 24 ชั่วโมง ผลชิ้นเนื้อลำไส้ส่วนปลาย ทุกอย่างออกมาปกติ ไม่พบ Amyloid ในส่วนอื่นๆ … ดีใจมากๆๆๆๆๆๆ จบสิ้นความกังวลอันยาวนานเกือบ 3 เดือน นับจากวันที่เริ่มมีอาการ…
และได้รู้ซึ้งถึงความรักของครอบครัวที่มีให้ ทั้งกำลังใจ และการดูแล
บอกเลยว่า ช่วงที่กังวลและจิตตกที่สุด คือช่วงที่รอลุ้นผล ไม่รู้ชะตากรรม
มันคิดไปไกลสุดทางเลย กลัวไปหมด
ไม่อยากเป็นโรคร้าย ไม่อยากให้คนรอบข้างมากังวล มาดูแล กลัวคนอื่นมาลำบากด้วย
กลัวทำงานไม่ได้ กลัวทุกสิ่งจริงๆ
วันนี้ รอดมาแล้ว
รู้เลยว่าสุขภาพดีสำคัญแค่ไหน
แล้วเดี๋ยวจะมาเขียนสรุปสิ่งที่ได้เรียนรู้อีกรอบ
มันมีอะไรมากมายในความคิดจริงๆ
สุดท้าย ถ้าใครมีอาการอะไรเล็กๆน้อยๆ ให้หมั่นสังเกต
อย่าปล่อยผ่าน
คนที่เรารักก็เช่นกัน หมั่นดูแล ถามไถ่
อะไรที่มันแก้ไขตั้งแต่ต้นๆได้ มันก็อาจจะหายได้
ของจ๋าเอง หากไม่สนใจอาการเล็กๆนั้น
วันนี้ก็อาจจะยังปล่อยให้เจ้าติ่งนี้เนื้ออยู่ที่เดิม
และก็ตอบไม่ได้ ว่า Amyloid มันจะขยายขอบเขตไปไหม หรือมากแค่ไหน…
ขอให้ทุกคนที่อ่านมาถึงตรงนี้ ดูแลสุขภาพกันดีๆนะคะ
เพราะมันหากลับมาไม่ได้อีกต่อไปแล้ว ต่อให้รวยแค่ไหนก็ตาม …
Cr_facebook : vj ja





